Introducción
Se denomina disfagia a la sensación subjetiva de dificultad de paso del bolo alimenticio durante la deglución debida a una mala progresión de lo ingerido desde la orofaringe hasta el estómago. Su prevalencia se sitúa en torno al 3% de la población general, sin diferencia de sexo. Su incidencia aumenta con la edad, ya que el 10-30% de las personas mayores de 65 años presenta alguna dificultad para la deglución1. Según la localización de la alteración, se clasifica en disfagia orofaríngea o esofágica. Igualmente, según su etiología, se puede clasificar en disfagia mecánica (afectación de la orofaringe y/o estenosis de la luz esofágica, ya sea intrínseca o extrínseca) o disfagia motora (alteración o incoordinación de los mecanismos de deglución por una alteración funcional) (tabla 1). En este último grupo de disfagia motora se engloba el espasmo esofágico difuso1,2.
El espasmo esofágico difuso es un trastorno motor primario que se caracteriza por la aparición de contracciones esofágicas prematuras durante la deglución, de causa desconocida2. Afecta más frecuentemente al sexo femenino y, aunque suele aparecer en pacientes mayores de 40 años, no es nada infrecuente que se observe en edades más tempranas3. Los espasmos esofágicos suelen ser difíciles de tratar, pero, por lo general, suele ser suficiente con el tratamiento médico, siendo en muy pocos casos necesario el tratamiento quirúrgico4.
Caso clínico
Hombre de 77 años, con antecedentes personales de diabetes mellitus, hipertensión arterial y dislipemia, así como accidente cerebrovascular hace 30 años, sin repercusión clínica en la actualidad. Acudió a nuestra consulta del centro de salud refiriendo, por primera vez, episodios de disfagia de 1 año de evolución, más acentuada con alimentos sólidos, junto con expectoración y expulsión de alimentos ocasionalmente. Tras anamnesis y exploración, en consulta no se evidenció patología otorrinolaringológica, torácica ni abdominal, por lo que se decidió ampliar estudio con pruebas complementarias.
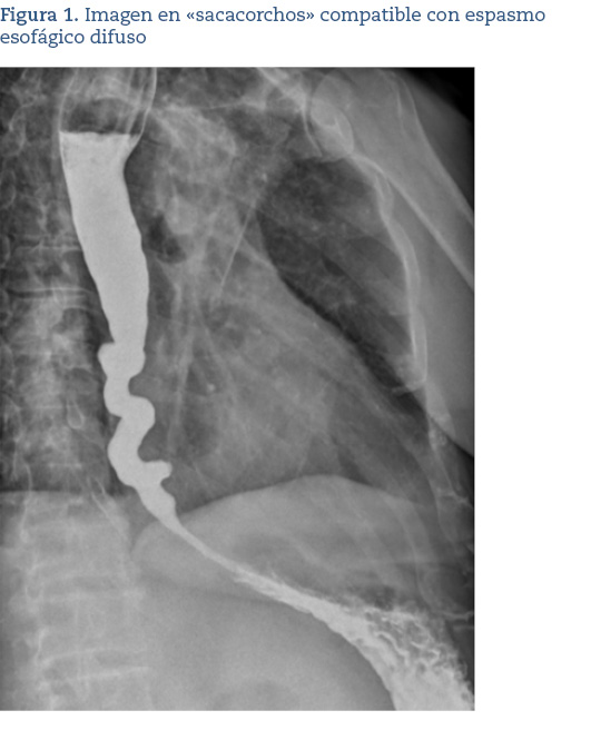
Se hizo una analítica completa consistente en un hemograma, glucemia, perfil renal, perfil hepático, perfil tiroideo y reactantes de fase aguda, siendo, en su conjunto, rigurosamente normal. La radiografía de tórax fue compatible con la normalidad, salvo signos artrósicos en columna dorsal. Posteriormente, se solicitó desde nuestra consulta un estudio esofagogastroduodenal (figura 1) para descartar posible causa mecánica o disfunción motora, en el que se evidenció un esófago con morfología en sacacorchos, sin claros signos de acalasia, sugestivo de espasmo esofágico difuso. Ante este último hallazgo y lo sintomático que estaba el paciente, se decidió su derivación a la consulta de digestivo. En dicha consulta, se confirmó el diagnóstico mediante manometría esofágica de alta resolución, donde se objetivó una peristalsis fallida en el tercio proximal con las degluciones líquidas.
Se pautó tratamiento consistente en dieta blanda, así como omeprazol 20 mg en desayuno, y domperidona cada 24 horas. En la actualidad presenta una buena respuesta al tratamiento prescrito, aunque en momentos puntuales coincidentes, sobre todo, en transgresiones dietéticas, precisa un aumento de la frecuencia de las dosis de domperidona cada 8 o 12 horas. El paciente se encuentra correctamente controlado de su sintomatología en nuestra consulta de Atención Primaria y no necesita revisiones en la consulta de digestivo.
Discusión
El espasmo esofágico difuso o distal es un trastorno motor primario caracterizado por la presencia de una contractilidad hiperactiva, con la aparición de contracciones esofágicas prematuras durante la deglución, tanto para sólidos como para líquidos1,2. Se trata de una enfermedad infrecuente, más común en el sexo femenino y que suele aparecer en la edad adulta3. Los síntomas del espasmo esofágico son muy inespecíficos, siendo los más frecuentes el dolor torácico y la disfagia4, este último muy común en el caso que nos atañe.
Para el diagnóstico, conviene tener en cuenta los antecedentes personales de la persona (edad, tabaquismo, enolismo, diabetes, enfermedades sistémicas, neumonías recurrentes, tratamiento farmacológico actual, ingestión de cáusticos, intubación orotraqueal, radioterapia previa, infección por virus de inmunodeficiencia humana, enfermedades del sistema nervioso central, accidente cerebrovascular, enfermedad de Parkinson, demencia, esclerosis múltiple...), los antecedentes familiares (diabetes, enfermedades neuromusculares y neoplasias) y la enfermedad actual (disfagia al tragar sólidos, líquidos o ambos, con o sin odinofagia, localización, duración, evolución, síntomas acompañantes...)3. En nuestro caso, conviene destacar las patologías de diabetes mellitus y el accidente cerebrovascular sufrido hace 30 años como factores posibles desencadenantes de su disfagia.
En cuanto a la exploración física, se debe observar el estado general de la persona. Hay que inspeccionar la boca y la faringe (dentadura, lesiones en mucosa, aftas, masas o indicios de infección local), así como hacer un examen del cuello (tiromegalias, anomalías cervicales, aumento de la presión venosa yugular...). Hay que valorar adenopatías y hacer una exploración hepática para descartar metástasis, así como una adecuada auscultación respiratoria para descartar complicaciones neumónicas por aspiración. Todo esto fue compatible con la normalidad en nuestro paciente.
La radiografía baritada puede jugar un importante papel para el diagnóstico de esta patología en nuestra consulta de Atención Primaria, dada la fácil accesibilidad y la casi inocuidad de la misma. Esta prueba puede mostrar una contractilidad desordenada o la clásica pero inhabitual imagen de «esófago en sacacorchos»4,5, como así fue en nuestro caso.
Conviene hacer un diagnóstico diferencial entre distintas entidades causantes de disfagia, ya descritas anteriormente en la tabla 1.
Para su tratamiento, son de especial importancia las recomendaciones nutricionales, las cuales varían en función del diagnóstico y la caracterización del mecanismo causante de la disfagia6. Se han empleado fármacos con diferentes mecanismos de acción: calcioantagonistas, procinéticos, nitratos, inhibidores de la 5-fosfodiestersa y antidepresivos, todos ellos con baja eficacia. Solo en casos refractarios al tratamiento médico se emplean alternativas más invasivas como la inyección esofágica de toxina botulínica y la cirugía, siendo ambas muy efectivas en casos seleccionados7. Sin embargo, en nuestro paciente, la sintomatología mejoró ostensiblemente con recomendaciones nutricionales y procinéticos a dosis bajas.
Cabe destacar el papel del médico o la médica de familia en este tipo de patología, puesto que un diagnóstico precoz en Atención Primaria (anamnesis, exploración física y utilización de las pruebas diagnósticas mencionadas anteriormente), al sospechar la posible existencia de espasmo esofágico difuso, supone, en gran medida, la mejoría clínica y de la calidad de vida de la/el paciente.
Agradecimientos
Se obtuvo el consentimiento escrito del paciente para la publicación del manuscrito.
Consideraciones
Se han tenido en cuenta las recomendaciones del CARE Statement en la redacción de este caso clínico.
Conflicto de intereses
Las autoras y los autores declaran no tener conflictos de interés en relación con la publicación de este caso clínico.

